摘要:医生指出:扁平疣不但影响面部美观而且具有传染性,给人造成很大精神压力和情绪影响。它的易传染性造成家人之间产生隔阂。其更大的危害是HPV病毒可致癌变。据世界卫生组织统计,宫颈癌、阴茎癌的发生与人乳头瘤病毒HPV感染密切相关。 扁平疣的治疗需要对病因
|
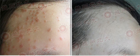
医生指出:扁平疣不但影响面部美观而且具有传染性,给人造成很大精神压力和情绪影响。它的易传染性造成家人之间产生隔阂。其更大的危害是HPV病毒可致癌变。据世界卫生组织统计,宫颈癌、阴茎癌的发生与人乳头瘤病毒HPV感染密切相关。 扁平疣的治疗需要对病因进行详细检测,并采用针对性的治疗方法。患者出现该病的相似症状时,尽量不要私自用药,若药不对症,不但起不到治疗效果,还可以导致其它副作用。患者应及时就医,以免延误最佳治疗时间。 【兰州北大皮肤专科医院·疗法】 “中西结合净毒祛疣疗法” 7天清毒1~2个疗程治愈扁平疣抗复发 治疗原理:通过光动力检测分析准确定位,并用UVB紫外线光治疗仪、YDQ-500型医用液氮冷枪只对符合病毒特性的耙组织进行杀灭和破坏,不伤及周围组织。再结合无任何刺激的纯中药制剂,对引起扁平疣、尖锐湿疣、寻常疣的16种高危HPV病毒有高效吞噬作用。 ![]() 兰州北大皮肤病专科治疗扁平疣前后对比图 北大治扁平疣,疗效看得见 ![]() 本图经彭女士及家人同意拍摄,未经允许,严禁转载,违者必究 【患者信息】家住宝安区的彭丽女士,面部患扁平疣多年,曾去过多家医院治疗,但都未治好。后经朋友推荐,在网上预约了兰州北大皮肤专科医院,于2014年8月16星期六来院就诊。 【治疗前】脸颊、额头等处有较多的疣体,因为抓挠疣体开始向下巴等处扩散。 【诊断治疗】梅涛接诊后,进行HPV检查取病变组织局部组织粘液、分泌物展开,采用激光动力综合疗法治疗。 【治疗效果】经过2个疗程治疗后,彭女士面部疣体已脱落且无任何瘢痕留下。 我也想快速治扁平疣,点击预约医生 医生忠告:扁平疣是病毒性疾病易传染恶化,正确对待扁平疣应及早发现及时治疗,治疗请选择正规皮肤病医院。如有任何疑问,兰州北大皮肤专科医院医生会为你答疑解惑,祝您早日康复。如果您想体验“中西结合净毒祛疣疗法”,可以点击我们的在线咨询,我们的在线医生会给您最专业,最详细的讲解。 就诊需知: 兰州北大皮肤专科医院皮肤科医生提醒:由于扁平疣因HPV病毒引起,还可导致皮肤癌和宫颈癌,对患者的身体健康造成严重危害。同时由于扁平疣具有传染性,对家人和朋友都造成威胁。因此,扁平疣一定要及早治疗,杜绝后患。 (责任编辑:admin) |
- 上一篇:为什么扁平疣治好之后反复发作
- 下一篇:扁平疣会造成什么危害




